VIVE. Revista de Investigación en Salud

https://revistavive.org

Volumen 6 No. 18, septiembre-diciembre 2023

 ISSN: 2664-3243

ISSN-L: 2664-3243

pp. 895 – 906

 

Displasia fibrosa maxilar. Del diagnóstico al tratamiento. Reporte de caso

Maxillary fibrous dysplasia. From diagnosis to treatment. Case report

Displasia fibrosa maxilar. Do diagnóstico ao tratamento. Relato de caso

 

Carla Córdova

carlacordova07@gmail.com

https://orcid.org/0009-0003-1623-5381

 

Jorge Briceño

jorgebriceno.postgrado@gmail.com

https://orcid.org/0009-0007-8443-3610

 

Jennifer Quintero

jennyjqp@gmail.com

https://orcid.org/0009-0002-1470-5354

 

Aransa Velásquez

aransa_1211@hotmail.com

https://orcid.org/0009-0003-6057-6650

 

María Castellanos

mariacastellanos0497@gmail.com

https://orcid.org/0000-0002-1588-0317

 

Braulio López

bhlabs7@gmail.com

https://orcid.org/0000-0002-3160-9594

 

Instituto Docente Odontológico López Arévalo, Universidad Latinoamericana y del Caribe. Programa de Especialización en Cirugía Bucal, Valencia, Venezuela

 

Artículo recibido 2 de agosto 2023 | Aceptado 24 de agosto 2023 | Publicado 25 de septiembre 2023

 

Escanea en tu dispositivo móvil o revisa este artículo en:

https://doi.org/10.33996/revistavive.v6i18.272

 

 

RESUMEN

La displasia fibrosa se puede presentar, en cualquier persona, por una mutación en los primeros meses de gestación. Se trata de lesiones óseas benignas en pacientes jóvenes, en las que el tejido óseo normal es sustituido por tejido conectivo fibroso, debido a una alteración funcional de las células, siendo esta la antesala de una neoplasia. El objetivo de éste artículo es presentar un caso local de Displasia Fibrosa Maxilar, enfatizando el manejo clínico, radiográfico, pre y postoperatorio más pertinente. Por lo tanto, se describe el caso de un paciente adolescente de género masculino, afectado por displasia fibrosa en hemimaxilar derecho, a quien le fueron realizados los estudios imagenológicos e histopatológicos necesarios para obtener el diagnóstico definitivo y decidir el abordaje menos invasivo posible cumpliendo con estándares de estética facial; se realizó abordaje intrabucal para shaving óseo, con sedación consciente bajo estricta vigilancia de la especialista en anestesiología y reanimación. Una vez logrado el contorno deseado mediante el uso de piezas de mano de alta y baja velocidad, se realizó la sutura de los tejidos y el paciente egresó ambulante y con buen estado general de salud.

 

Palabras clave: Displasia Fibrosa Maxilar; Tejido fibroso; Cirugía; Maxilar

 

ABSTRACT

Fibrous dysplasia can occur in any person due to a mutation in the first months of gestation. These are benign bone lesions in young patients, in which the normal bone tissue is replaced by fibrous connective tissue, due to a functional alteration of the cells, being this the prelude to a neoplasm. The aim of this article is to present a local case of Maxillary Fibrous Dysplasia, emphasizing the most relevant clinical, radiographic, pre and postoperative management. Therefore, we describe the case of an adolescent male patient, affected by fibrous dysplasia in the right hemimaxillary, who underwent the necessary imaging and histopathological studies to obtain the definitive diagnosis and decide the least invasive approach possible in compliance with facial aesthetic standards; an intraoral approach was performed for bone shaving, with conscious sedation under strict supervision of the specialist in anesthesiology and resuscitation. Once the desired contour was achieved through the use of high and low speed handpieces, the tissues were sutured and the patient was discharged ambulatory and in good general health.

 

Key words: Maxillary Fibrous Dysplasia; Fibrous Tissue; Surgery; Maxilla

 

RESUMO

A displasia fibrosa pode ocorrer em qualquer pessoa devido a uma mutação nos primeiros meses de gestação. São lesões ósseas benignas em pacientes jovens, nas quais o tecido ósseo normal é substituído por tecido conjuntivo fibroso, devido a uma alteração funcional das células, sendo esse o prelúdio de uma neoplasia. O objetivo deste artigo é apresentar um caso local de Displasia Fibrosa Maxilar, enfatizando o manejo clínico, radiográfico, pré e pós-operatório mais pertinente. Portanto, descrevemos o caso de um paciente adolescente do sexo masculino, afetado por displasia fibrosa no hemimaxilar direito, que foi submetido aos exames de imagem e histopatológicos necessários para obter um diagnóstico definitivo e decidir sobre a abordagem menos invasiva possível, em conformidade com os padrões estéticos faciais; foi realizada uma abordagem intraoral para raspagem óssea, com sedação consciente sob estrita supervisão do especialista em anestesiologia e ressuscitação. Depois que o contorno desejado foi obtido com o uso de peças de mão de alta e baixa velocidade, os tecidos foram suturados e o paciente recebeu alta ambulatorial em bom estado geral de saúde.

 

Palavras-chave: Displasia Fibrosa Maxilar; Tecido Fibroso; Cirurgia; Maxila

 

INTRODUCCIÓN

El término displasia hace referencia a la alteración funcional de un grupo de células, como transición previa a una neoplasia, específicamente la displasia fibrosa, es una patología esporádica, benigna, incurable, de progreso lento, que afecta los huesos. A nivel cráneo facial generalmente afecta el maxilar y zigomático (1). Existen tres tipos de monostótica cuando afecta un hueso (70% de los casos), poliostótica cuando afecta varios huesos (27% de los casos) y sindrómica cuando está asociada a varias enfermedades, como por ejemplo Síndrome de McCune - Albright (endocrinopatías y lesiones cutáneas hiperpigmentadas) (2). Se caracteriza por el reemplazo de hueso normal por tejido óseo fibroso, es decir, hueso anormal que resulta en asimetrías y deformidades que generalmente comprometen la estética y la función.

De acuerdo con los estudios del U.S. Department of Health & Human Services a través del Genetic and Rare Diseases Information Center (GARD), se cataloga a la Displasia fibrosa como una enfermedad congénita, no hereditaria y de rara aparición (3). Por eso, el diagnóstico diferencial se hace con otras lesiones dependiendo de la extensión y del lugar de la lesión, con quiste óseo solitario, tumor de células gigantes, fibroxantoma, encondromatosis, granuloma eosinófilo, hemangioma, meningioma, osteoma, entre otros (4).

En el ámbito geográfico de la República Bolivariana de Venezuela, estado Carabobo, es poco frecuente el reporte de este tipo de enfermedades en los pacientes que acuden al servicio odontológico del Instituto Docente Odontológico López Arévalo (IDOLA), por lo tanto, el objetivo del presente artículo es presentar un caso local de Displasia Fibrosa Maxilar, enfatizando el manejo clínico, radiográfico, pre y postoperatorio, para el fortalecimiento educativo de la praxis quirúrgica.

 

DESCRIPCIÓN DEL CASO CLÍNICO

Se trata de un paciente adolescente, masculino, de 15 años, quien refirió inicio de la enfermedad en 2017, acudió al Instituto Docente Odontológico López Arévalo (IDOLA) en diciembre de 2020 por inconformidad estética al presentar aumento de volumen en hemicara derecha, luego de la evaluación pertinente se le realizó una biopsia incisional, obteniendo el diagnostico histopatológico de Displasia Fibrosa. Asiste nuevamente en Julio de 2021 para evaluación preoperatoria e intervención quirúrgica.

Se realizó la anamnesis correspondiente, no se encontraron antecedentes médicos personales ni familiares de relevancia, el paciente presentaba buenas condiciones de salud general. En consonancia con lo establecido en la ley orgánica de protección al niño, niña y adolescente en sus artículos 42 y 43, se le explicó al paciente su estado de salud y se le solicitó a su representante legal la firma del consentimiento informado.

Durante la exploración física no se observaron alteraciones en la forma de la cabeza ni presencia de tumoraciones o reblandecimientos. A nivel del rostro se observa aumento de volumen en lado derecho en la zona de la mejilla en el tercio medio de la cara y descenso de la comisura labial ipsilateral, tal como se muestra en la Figura 1.

 

Figura 1. Fotografía frontal del paciente donde se puede apreciar aumento de volumen del lado derecho, así como descenso en comisura labial ipsilateral.

Fuente: Historia Clínica Postgrado Cirugía bucal ULAC-IDOLA Julio 2021.

 

En el examen bucal se observó una apertura bucal normal (50 mm), mucosa oral húmeda y sin lesiones, lengua central y móvil, unidades dentarias presentes, fórmula dentaria permanente, sin caries ni restauraciones. En el cuadrante superior derecho se notó un aumento de volumen del contorno vestibular desde la unidad dental 1.3 hasta la unidad 1.7; no fue posible palpar el límite superior de la lesión. En la mucosa involucrada se observó un cambio en la coloración de la encía adherida, debido a la isquemia provocada por el aumento de volumen óseo tal como se muestra en la Figura 2.

 

Figura 2. Fotografía donde se observa aumento y deformidad del contorno vestibular en la hemiarcada superior derecha.

Fuente: Historia Clínica Postgrado Cirugía bucal ULAC-IDOLA Julio 2021.

 

 

 

Estudios de imagen

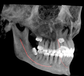
Como estudio imagenológico inicial, se le realizó ortopantomografía, donde se apreció la lesión radiopaca de bordes irregulares y difusos en el cuadrante superior derecho que se extendió en sentido cefálico caudal con ocupación del seno maxilar derecho, y en sentido mesio-distal desde la unidad 1.3 hasta la unidad 1.7. Posteriormente se le indicó una tomografía computarizada cone beam, donde se apreció que el límite superior de la lesión coincide con el borde inferior del cuerpo malar, extendiéndose hasta el pilar cigomático maxilar, tal como se muestra en las Figuras 3, 4 y 5.

Figura 3. Reconstrucción 3D en una vista trans axial de los huesos del macizo cráneo facial y la zona afectada por la lesión. Fuente: Historia Clínica Postgrado Cirugía bucal ULAC-IDOLA Julio 2021

 

Figura 4. Reconstrucción 3D volumen rendering, en una vista frontal de los huesos de la cara y zona afectada por la lesión. Fuente: Historia Clínica Postgrado Cirugía bucal ULAC-IDOLA Julio 2021

 

Figura 5. Reconstrucción multiplanar donde se observa la displasia en cortes: axial, sagital y coronal. Fuente: Historia Clínica Postgrado Cirugía bucal ULAC-IDOLA Julio 2021

 

Estudios de laboratorio e histopatológico

 

Se solicitó prueba de hematología completa y tiempos de coagulación, no se encontraron valores fuera de los parámetros de normalidad (5).

Se realizó una biopsia incisional (diciembre 2020). Para ello, fueron recolectados 5 fragmentos de hueso esponjoso con un diámetro entre 0.3 x 0.5 y 0.5 x 0.6 cms. Se fijaron en formaldehido al 10% y se enviaron a laboratorio especializado en estudios histológicos quienes procesan la muestra en microscopia óptica observando: trabéculas óseas de distintas morfologías, algunas interconectadas, gruesas, alternando con trabéculas filiformes rodeadas por escasos osteoblastos periféricos reactivos, separadas por tejido fibroblástico, de mediana densidad, sin componentes de células gigantes osteoclásticas. Entre el componente fibro - óseo, luces vasculares moderadamente dilatadas y congestivas, eritrocitos extravasados alternando con focos de hemorragia reciente y escasa hemosiderina. No hubo evidencia histología de malignidad.

 

Diagnóstico y planificación de tratamiento

 

Las características morfológicas descritas, junto a la correlación clínico-patológica e imagenológica llevan al diagnóstico de Displasia Fibrosa Maxilar.

No existe cura para la displasia fibrosa, los tratamientos tienen como objetivo atender los problemas asociados, entre las opciones se encuentra disponible el uso de medicamentos para el dolor, terapia hormonal y uso de bifosfonatos, también se puede recurrir a la intervención quirúrgica para dar nueva forma al hueso afectado por la displasia fibrosa o eliminarlo (6).

Luego de evaluar las distintas opciones terapéuticas mencionadas en la comunidad científica internacional. Basado en un criterio conservador y en la sencillez y medios disponibles en el entorno. Se decide tratamiento quirúrgico mediante “shaving” (afeitado) óseo, considerado el tratamiento alternativo óptimo de la displasia fibrosa craneofacial que afecta el maxilar y el cigoma (7).

 

Intervención quirúrgica

 

Debido a la extensión de la lesión, a las características de la intervención, edad y comodidad del paciente, se decide usar sedación consciente, los signos vitales se mantuvieron estables durante el procedimiento, la administración de medicamentos por parte del anestesiólogo se describe en la figura 6.

 

Figura 6. Fármacos suministrados al paciente durante el proceso de sedación y posterior recuperación.

Fuente: Historia Clínica Postgrado Cirugía bucal ULAC-IDOLA Julio 2021

 

Se inició el procedimiento cumpliendo los estándares de asepsia y antisepsia del ambiente quirúrgico y campo operatorio (8). Se utilizaron técnicas anestésicas locales en la hemiarcada derecha: bloqueo extraoral del nervio infraorbitario, bloqueo infiltrativo de los nervios alveolares superiores (anterior, medio y posterior). Bloqueo del nervio palatino mayor. El anestésico utilizado fue lidocaína al 2% con epinefrina como vasoconstrictor en concentración 1:100.000 (9).

Luego de esperar el periodo de latencia del anestésico (3min), se colocó el campo abierto sobre el área de trabajo para proceder con la siguiente fase, una vez confirmada la anestesia en la zona se procede a la incisión con hoja de bisturí n°15 colocada en un mango n°3, se realizó un colgajo sulcular desde la UD 17 hasta la cara mesial de la UD 13 donde se realizó la descarga en dirección al fondo del surco, luego se realizó levantamiento del colgajo de espesor total con el periostótomo Molt #9. Esto se muestra en la figura 7.

 

Figura 7. Levantamiento de colgajo mucoperióstico con Molt #9 usando separadores de Branemarck y Minnesota.

Fuente: Historia Clínica Postgrado Cirugía bucal ULAC-IDOLA Julio 2021

 

Una vez expuesta la superficie del hueso, se procede a realizar las líneas guía con pieza de mano de alta velocidad y fresa quirúrgica 702, tomando en consideración las mediciones de trabajo obtenidas mediante el cone beam realizadas por la residente y el Adjunto Cirujano Maxilofacial, detalladas en la historia clínica del paciente en el postgrado de Cirugía Bucal ULAC-IDOLA. (Figura 8) (Tabla 1)

 

Figura 8. Tallado de guías para el desgaste del tejido displásico usando pieza de mano de baja velocidad y fresa tipo pimpollo.

Fuente: Historia Clínica Postgrado Cirugía bucal ULAC-IDOLA Julio 2021

 

Tabla 1. Mediciones de trabajo con márgenes de seguridad para realizar el shaving óseo. Fuente: Historia Clínica Postgrado Cirugía bucal ULAC-IDOLA Julio 2021

Zona UN

Distancia Raíz 

en mm

Shaving

en mm

13

2,1

7

14

2,2

5

15

2,6

9

16

2,8

7

 

Una vez obtenido el patrón de desgaste, se procede a realizar el shaving utilizando pieza recta de baja velocidad con fresa tipo pimpollo de carburo – tungsteno, vástago HP, diámetro 080 en forma de llama con ángulo de corte negativo. De acuerdo a la percepción de los operadores mediante el tacto epicrítico, se logró la mayor simetría posible tomando en consideración el lado contralateral (Figura 9).

 

Figura 9. Se observa el resultado del desgate, previo a la reposición del colgajo y sutura.

Fuente: Historia Clínica Postgrado Cirugía bucal ULAC-IDOLA Julio 2021

 

Se reposicionó cuidadosamente el colgajo, para poder realizar la sutura se realizó el bloqueo del nervio palatino mayor y posteriormente utilizando una sutura seda negra 3-0, aguja C24, se realiza el cierre con punto de colchonero vertical de forma interdental, y punto complejo continuo en la descarga realizada en la zona canina. (Fig.10).

 

Figura 10. Se observan los puntos de sutura realizados, punto de colchonero vertical interdental y punto complejo continuo en la descarga.

Fuente: Historia Clínica Postgrado Cirugía bucal ULAC-IDOLA Julio 2021

 

Se verificó la hemostasia, las condiciones generales del paciente y se concluyó el procedimiento quirúrgico sin complicaciones inmediatas aparentes. El anestesiólogo procedió con la administración gradual de los antagonistas respectivos para revertir los efectos de la sedación, así como la aplicación de dexametasona, metoclopramida y diclofenaco. Posteriormente se colocó cura compresiva en la zona intervenida. El Paciente egresó ambulante, consciente, en condición general estable y el postoperatorio transcurrió de acuerdo a parámetros de normal evolución en cuanto a la recuperación.

 

DISCUSIÓN

En el desarrollo intraoperatorio, el procedimiento clínico del desgate de la displasia revistió una complejidad moderada gracias al acceso con visión directa al área de trabajo; sin embargo, la lesión se extendía hacia el hueso malar, dificultando el acceso en la profundidad del desgaste. Tal como mencionan Kang y colaboradores en su estudio realizado en 2015 hay 2 pasos esenciales para lograr con éxito la simetría facial durante el fresado de reducción en la corrección quirúrgica de la displasia. En primer lugar, los cirujanos deben determinar con precisión la extensión de la resección quirúrgica, para ello recomiendan el uso de un modelo tridimensional del esqueleto craneofacial basado en tomografías computarizadas e imágenes preoperatorias (7).

En segundo lugar, señalan que los cirujanos deben realizar correctamente el contorno facial basándose en el plan preoperatorio. Evaluar la simetría entre el lado operatorio y el lado no operatorio de un paciente con Displasia Fibrosa representa un reto (7).

En este sentido es necesario mencionar que, en la práctica, en la mayoría de los casos resulta imposible eliminar la displasia totalmente sin afectar la función y la estética debido a la relación anatómica estrecha con áreas importantes. El procedimiento se llevó a cabo de forma segura y satisfactoria tomando en cuenta las mediciones obtenidas del estudio imagenlógico en 3D.

Posterior a la cirugía se le indicó al paciente realizarse una ortopantomografía y una tomografía Cone Beam de control, actualmente se esperan los resultados para decidir conducta en relación a una segunda intervención que permita abordar la región cigomática.

La detección temprana de la displasia fibrosa permite un enfoque quirúrgico más conservador. Aunque la displasia fibrosa no tiende a malignizarse es recomendable hacerle un seguimiento periódico, clínico y radiográfico a la lesión (1).

En el mismo orden de ideas, la selección del tratamiento entre el abordaje conservador o la eliminación total de la lesión, depende de diversos factores que deben ser tomados en cuenta por el clínico, en consonancia con los requerimientos del paciente, el tratamiento depende de la edad, la situación, los síntomas y la sospecha de malignidad (4).

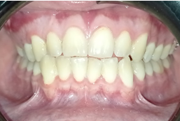
Desde la perspectiva del paciente, en el post operatorio refirió dolor 5/10 en escala de EVA (10), superados los 5 días posteriores, su proceso inflamatorio fue disminuyendo y permitiéndole sentir mayor confort. Un mes luego de su cirugía asistió a consulta para seguimiento y se pudo apreciar el cambio en su asimetría facial (ver figuras 11 y 12), razón por la cual el paciente refirió mayor satisfacción con su nueva estética facial y bucal.

 

Figura 11. Fotografía frontal del paciente postoperatorio con un mes de evolución. Fuente: Historia Clínica Postgrado Cirugía bucal ULAC-IDOLA Agosto 2021

 

Figura 12. Fotografía intrabucal del paciente postoperatorio con un mes de evolución. Fuente: Historia Clínica Postgrado Cirugía bucal ULAC-IDOLA Agosto 2021

 

 

AGRADECIMIENTOS Al personal académico y de servicios del Instituto Docente Odontológico López Arévalo (IDOLA).

CONFLICTO DE INTERESES. Los autores declaran que no existe conflicto de intereses.

FINANCIAMIENTO. Los autores declaran no haber recibido ningún tipo de financiamiento.

 

REFERENCIAS BIBLIOGRÁFICAS

1. Brucoli M, Garzaro M, Dosio C, Boffano P, Benech A. The surgical management of monostotic fibrous dysplasia of the inferior turbinate. J Stomatol Oral Maxillofac Surg. 2020; 121(4): 457–9. DOI: 10.1016/j.jormas.2019.10.014

2. Guzmán E, López E, Harris J. Displasia fibrosa: parámetros a considerar para la decisión quirúrgica. Rev habanera cienc médicas. 2018; 17(3): 451–61. http://scielo.sld.cu/scielo.php?script=sci_arttext&pid=S1729-519X2018000300451&lng=es.

3. Kaneshiro N, Zieve D, Conaway B. Displasia fibrosa. Medlineplus.gov. 2021. https://medlineplus.gov/spanish/ency/article/001234.htm.

4. Álvarez A, Anes G, Fernández N. Displasia fibrosa aislada del cornete inferior. Acta Otorrinolaringol Esp. 2013; 64(4):312–3. http://dx.doi.org/10.1016/j.otorri.2011.11.006

5. Cela de Julian E, Huerta A. J. Hematología práctica: interpretación del hemograma y de las pruebas de coagulación. Aepap.org. 2018.https://www.aepap.org/sites/default/files/507-526_hematologia_practica.pdf

6. NIAMS. Salud de los huesos y la osteoporosis. National Institute of Arthritis and Musculoskeletal and Skin Diseases. 2023. https://www.niams.nih.gov/es/informacion-de-salud/salud-de-los-huesos-osteoporosis

7. Kang S, Oh M, Jeon S. A novel and easy approach for contouring surgery in patients with craniofacial fibrous dysplasia. J Craniofac Surg. 2015; 26(6):1977–8. http://dx.doi.org/10.1097/scs.0000000000001953

8. Muñoz A, Forero F. E. Comportamientos de asepsia y antisepsia en procedimientos quirúrgicos. Ustasalud. 2018 ;17(1-S):12. http://revistas.ustabuca.edu.co/index.php/USTASALUD_ODONTOLOGIA/article/view/2212

9. Malamed F. Manual de Anestesia Local. anestesia.org.ar. 2013. https://www.anestesia.org.ar/assets/downloads/articles/277/230-Manual%20de%20Anestesia%20Local%20-%20Malamed%206%20ed.pdf

10. Vicente M, Delgado S, Bandrés F, Ramírez M, Capdevila L. Valoración del dolor. Revisión Comparativa de Escalas y Cuestionarios. Rev Soc Esp Dolor. 2018; 25(4):228–36. https://dx.doi.org/10.20986/resed.2018.3632/2017